 |
 |
 |
 |
 | Hauterkrankungen |
|
|
DEMODIKOSE
|
|
|
|
|
|
|
links : Demodex Canis Milbe, mitte : Demodex-Ei, rechts : erkrankte Hautpartie
|
|
|
|
|
|
|
|
|
|
|
|
|
|
|
|
MASTOZYTOM
|
Mastzellen sind ein wichtiger Bestandteil des intakten Immunsystemes und gehören zu den Leukozyten, sind allerdings im Unterschied zu diesen, in der Regel nicht im Blut vorzufinden. Die Mastzellen werden im Knochenmark gebildet und wandern hienach durch den Körper in Gewebe und Organe. Sie siedeln sich im Bereich der Darmschleimhaut, der Atemwege, der Haut, in der direkten Umgebung von Gefäßen und Nerven an. Sie sind sozusagen die Wächter von Randbezirken, an denen Krankheitserreger eindringen können. Mastzellen sind mononukleäre Zellen mit reichlich Granula, also einkernige Zellen mit körnchenförmigen Einlagerungen, die Speicherstoffe und Sekretstoffe enthalten.
|
|
|
|
|
|
Im obigen Bild erkennt man gleichzeitig einen Infektionsherd im Körper. Bereits wenige Stunden nach Eindringen eines Krankheitserregers sind die Mastzellen vor Ort. Sie reagieren besonders schnell auf Eindringlinge und senden Botenstoffe aus. Ihre Granula enthält blutgerinnungshemmende Substanzen - Heparin und Histamin. Auf obigem Bild wurden Botenstoffe aus den Granula der Mastzelle und Histamin ausgeschüttet und die Soldaten des Immunsystemes, die neutrophilen Granulozyten, haben bereits reagiert und bilden ihre Nets im gerade frisch infizierten Gewebe aus, um Bakterien abzutöten.
|
|
|
Mastzellen haben somit eine äußerst wichtige Aufgabe in der gesunden Immunabwehr zu erfüllen. Daneben steuern Mastzellen die nervliche Tätigkeit bezüglich der Schlaf- und Wachphasen, regulieren die Abläufe der Darmtätigkeit und regulieren die Magensäureproduktion - und das ist für den MOPS wichtig, bzw. für den MOPSBESITZER bedeutsam zu wissen !
Der Mops ist das emotionale Spiegelbild seines Halters ! Ist der Halter durch Stress erregt, überträgt sich dies auch auf seinen Mops und es kann dadurch zu einer ungewollten Histaminausschüttung kommen. Im schlimmsten Falle kommt es zur Urticaria (Nesselsucht), die allerdings in der Regel nicht bedrohlich verläuft, wie Urticaria aufrund von Gift- oder Medikamenteneinwirkung. Dennoch rate ich bei Urticaria (auch Quaddelsucht) immer auf schnellem Wege einen Tierarzt aufzusuchen, der das Problem dann auch sofort wieder in den Griff bekommt. Psychische Erregung des Halters führt auch immer zur psychischen Erregung des Mopses. Auch zu große Besorgtheit um den Hund überträgt sich auf diesen. Der Mops als Menschenhund kennt die Stimmungen seines Menschen genau, genauer als der Mopshalter selbst. Allerdings weiß der Mops nicht, warum sein geliebter Mensch jetzt Angst hat, oder besorgt ist und, ähnlich einem Kind mit Prüfungsangst, kann die Sache buchstäblich in die 'Hose' gehen.
Die Magensäureproduktion des Mopses hängt von seiner Fütterung und seinen Futterzeiten ab. A b e r : auch das Verhalten des Mopsbesitzers nimmt auf die Produktion der Magensäure seines Gefährten Einfluß, da diese ja von Mastzellen gesteuert wird. Ebenso spielen hormonelle Einwirkungen beim Mops hinsichtlich seines Magensäuregehaltes eine große Rolle. Plazenten werden von Mopshündinnen nicht so gut vertragen und es kommt nach zu reichlichem Verzehr post partem oft zu Diarrhoe und Vomitus. Damit besteht nicht die geringste Gefahr für die Hündin, allerdings kann die Milchleistung bei vermindeter Nahrungsaufnahme für wenige Tage absinken. Läufigkeiten und Scheinträchtigkeiten haben ebenfalls großen Einfluß auf die Magensäureproduktion der Mopshündin. Dies möchte ich in diesem Kapitel erwähnen, da es im Bedarfsfalle für den Mopsbesitzer hilfreich ist, zu wissen, dass eine vermutete Erkrankung des Magens gar keine ist, sondern ein psychisches Problem, das einfach in den Griff zu bekommen ist, indem man seine eigene Persönlichkeit vor dem Hund festigt, und damit Einfluß auf die Histaminausschüttung des Hundes nimmt (auch wenn das für Sie, sehr geehrter Leser, makaber klingen mag, kenne ich genug solcher Fallbeispiele in der Praxis), bzw. bei hormonellen Disbalanzen, diese leichten Störungen sehr rasch von selbst wieder vergehen.
Bei Eindringen einer Fremd-DNA in den Körper setzen die Mastzellen den Körper durch Histaminausschüttung in Alarmbereitschaft. Durch diese Substanz und andere Botenstoffe werden u.a. vor allem die neutrophilen Granulozyten und andere Makrophagen herbeigeholt. Somit sind die Mastzellen zur Abwehr von Fremdeiweißen für die Antigen- Antikörperreaktion verantwortlich. Im nachstehenden Bild erkennt man eine Mastzelle, die an einem stäbchenförmigen Erreger andockt.
|
|
|
|
|
|
Eine Mastzelle hat einen Eindringling vorgefunden und dockt an diesem an.
Im nächsten mikroskopischen Bild umgeben Mastzellen schützend ein Blutgefäß.
|
|
|
|
|
|
Durch dieses schlagartige Freisetzen von Histamin in den Körper, um diesen in Alarmbereitschaft zu versetzen, können aber auch ungewollte Irritationen entstehen. Histamin ist auch verantwortlich für Allergien, bis hin zum anaphylaktischen Schock (Fallbeispiel : septisch-anaphylaktischer Schock bei schweren Infektionen). Am obigen Bild erkennt man die Schutzmauer, die von Mastzellen gegen Eindringlinge gebildet wird. Man kann sich aber auch vorstellen, was geschieht, wenn hier ein Fehler im Immunsystem passiert und warum ein anaphylaktischer Schock für den Patienten, ohne rasches Eingreifen, tödlich endet. Es kommt hiebei nicht nur zu Schwellungen im Halsbereich, Lungenödem und Herzstillstand, auch die Gefäße werden zuvor undicht. Der Patient blutet innerlich. Entsprechende Gegenmaßnahmen zur sofortigen Beruhigung des Immunsystemes und zur Abdichtung der Zellen müssen raschest eingeleitet werden.
Die Mastzellen sind somit auch verantwortlich für Allergien bis hin zum allergischen - anaphylaktischen Schock. Vorzugsweise äußern sich Allergien durch Rhinitis und Asthma. Mastzellen benötigen für diese fehlgeleitete Reaktion einen Trigger, einen Auslöser, ein Allergen. Es kommt auf den Triggerfaktor an, in welchem Ausmaß der Körper des Betroffenen reagiert. Bei Pollenallergien stellen die Pollen diesen Trigger dar und da sie mit der Schleimhaut während der Atmung des Betroffenen in Berührung kommen, reagieren die Mastzellen des dortigen Gewebes mit Histaminausschüttung. Kommt ein Allergen mit der Haut in Berührung, wird von den, in der Haut eingelagerten, Mastzellen der Botenstoff ausgeschüttet und es kommt in der Regel zu juckenden Ausschlägen bis Quaddelbildung. Wird das Allergen mit der Nahrung aufgenommen, kann es u.a. auch zu schweren Verdauungsstörungen, in der Regel Bauchkrämpfen und Diarrhoe führen. Bei längerer Aufnahme über die Ernährung kommt es in der Regel zu Hautreaktionen, auch starker Zerumenbildung beim Hund im Ohr und Belecken bzw. Rotfärbung der Pfoten. Der Hund kratzt sich laufend, die Haut rötet sich, wirkt trocken-schuppig. Durch das ständige Kratzen kann sich der Hund auch schwere Traumen zufügen. Im Alter nimmt die Anzahl der Mastzellen ab und die Bereitschaft zu Atopien sinkt analog. Allergien können sich allerdings auch aufbauen, wenn auf sie nicht rechtzeitig eingegangen wird. Ein Mensch oder Hund z.B. reagiert auf eine Substanz allergisch und die Behandlung wird nicht rechtzeitig eingeleitet, bzw. die Ursache nicht erkannt. Im ungünstigen Falle reagiert das Immunsystem, die Mastzellen, mit immer öfterer Histaminausschüttung und dann auch bei anderen Substanzen, die zuvor vom Probanten vertragen wurden und das Bild einer ausgeprägten Atopie kann entstehen.
Mastzellen können aber auch entarten. Durch Störung ihrer Zellteilung kommt es zur Zellmutation, zur Ansammlung von Mastzellen in einem Gewebebereich und zum Mastozytom (Mastzelltumor). Damit es allerdings zur Ausbildung eines Mastozytomes kommt, wird ebenfalls ein Trigger benötigt. Trigger sind beim Hund wiederum Allergene (Substanzen, die Allergien auslösen), Insektenstiche, Insektizide, Stress, psychische Erregung, Impfungen (dennoch wird geimpft und die Zuchtstätte verweist auf den verträglichen Impfstoff, den auch der die Zucht betreuende Tierarzt genau kennt, wie auch die korrekten, auf das Tier angepaßten, Impfintervalle), Verletzungen der Haut und Reizungen, wie Lecken und Kratzen. Hunde mit Mastzelltumoren haben allgemein eine hohe Neigung zum anaphylaktischen Schock.
Bei alten Hunden kommt es sehr häufig zur Ausbildung von Hauttumoren, bösartiger oder gutartiger Natur. Der alte Mops hat meist keine Neigung zu malignen Neoplasien, dafür eine Neigung zu gutartigen Mastozytomen der Haut. Diese Mastozytome haben absolut nichts mit Mastzellkrebs oder gar der sehr seltenen Mastzell-Leukämie gemein.
Möpse haben im allgemeinen im Alter keine bösartigen Neoplasien der Haut, wie oft andere Hunde, sondern, wenn solche Neoplasien auftreten sollten, handelt es sich meist um das
PRIMÄRE MASTZELLAKTIVITÄTS-SYNDROM
Diese Mastozytome streuen nicht in die Organe, sie bleiben auf die Haut beschränkt.
|
|
|
|
|
|
Es handelt sich hier um harmose Tumore, deren Inhalt aus weißen Blutkörperchen, vorweigend Mastzellen besteht. Eine unnötige Reizung dieser Neoplasien ist allerdings zu vermeiden, da es sonst zur weiteren Streuung auf die Haut kommt, bzw. das gereizte Mastozytom erheblich an Umfangsvermehrung zunimmt, da eben eine Irritation wieder einen Trigger abgibt und Mastzellen des Tumores mit rascher Zellteilung und Histaminausschüttung reagieren. Auch die herkömmliche chirurgische Entfernung eines Hautmastozytomes ist zu vermeiden, da es einerseits zur Ausschüttung von Histamin in den Körper kommen kann, was einen anaphylaktischen Schock im schlimmsten Falle für den Patienten bedeutet, andererseits allerdings auch bei weiträumiger Entfernung bis tief in das gesunde, umliegende Gewebe eine massive Streuung in die Haut verursacht wird. Sollte ein Mastozytom aufgrund Reizung, wenn z.B. der Hund daran leckt oder kratzt, wachsen, gibt es andere, sehr gute Möglichkeiten, diesen Tumor ohne Streuung zu entfernen. Im allgemeinen kann er an der Haut belassen werden.
Misteltherapie : wurde vor allem beim Boxer mit guten Erfolgen durchgeführt. Beim Mops rate ich ab, eine Misteltherapie, vor allem, ohne jegliche Erfahrung sowohl diese Rasse, wie auch die Therapie betreffend, durchzuführen. Der Mops reagiert anders, als viele andere Rassen auf bestimmte Medikamente. Mistelextrakt ist ein Gift, welches das Immunsystem aktiviert und gerade beim alten Mops entstehen gelegentlich Mastozytome eben aufgrund einer Überreaktion dieser Leukozyten. Eine Misteltherapie kann Mastozytome zum Verschwinden bringen, kann aber auch eine massive Streuung bewirken. So hat sich mir unlängst ein Fall zugetragen, in dem private Mopsbesitzer von sich aus mit Mistelextrakten therapierten, ohne jegliche Kenntnis über die Entstehung dieses Tumores, ohne Kenntnis über die Abläufe und Reaktionen des Immunsystemes und ohne Kenntnis selbstverständlich über die Vorgangsweise der korrekten Misteltherapie. Das Mistelextrakt als Gift wirkt bei ungeschulter Anwendung als rigoroser Trigger für Mastzellproduktion. Ich persönlich rate dringend von Misteltherapien beim Mops ab und warne außerdem dringend davor, seinen Hund ohne med. Ausbildung oder genaue Kenntnisse selbst zu therapieren. Immer wieder treffe ich auf Menschen, die ihre Tiere ohne Tierarzt selbst Medikamente eingeben und die Tiere werden hienach mitunter auch schwer krank. Wenn diese Menschen dann eine Ordination aufsuchen, teilen sie ihre Eigentherapie nicht mit und eine Diagnose ist äußerst erschwert.
zurück zum Mastozytom
|
|
|
|
|
|
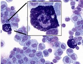
Das obige Bild stellt eine vorsichtige Gewebeentnahme mittels Feinnadel-Biopsie dar und läßt den Inhalt eines Mastozytomes erkennen. In diesem Bild befinden sich mononukleäre Zellen - Mastzellen mit Granula und einige Lymphozyten.
|
|
|
|
|
|
Auf den obigen Abbildungen ist ein Mastozytom gezeigt, welches durch Reizung - Belecken anderer Hunde dieser Stelle - zu wachsen begann. Dieser Mastzelltumor wurde vollkommen korrekt entnommen, heilte innerhalb weniger Tage vollständig ab und ist heute bereits wieder behaart. Am Bild rechts, 2 Wochen post operationem, ist kaum mehr etwas von der Stelle zu erkennen. Nach weiteren 2 Wochen war die Stelle dermaßen behaart, dass man überhaupt nicht mehr erkennen kann, dass hier jemals ein großes Mastozytom wuchs. Eine Streuung findet bei dieser schonenden Entnahme nicht statt.
Die 11-Jährige Venus von Mim bedankt sich hiefür bei ihrem Freund, Dr. Wolfgang Klammbauer.
|
Histiozytom
|
Histiozytome sind in der Regel äußerst gutartige Neoplasien der Haut und treten meist nur bei jungen Hunden bis zu 3 Jahren nach kutaner Reizung auf. Histiozytome bestehen aus einer Anhäufung von Histiozyten. Dies sind Makrophagen und wiederum Bestandteile des Immunsystemes. Auch diese Makrophagen zeigen sich vermehrt im frisch infizierten Gewebe, bzw. an Stellen, wo Erreger eingedrungen sind. Auch sie senden einen Botenstoff aus, der die neutrophilen Granulozyten an Ort und Stelle ruft, an dem die Neutros zur Vernichtung der eindringenden Bakterien ihre Nets entfalten. Histiozytome bilden sich meist unter Vorlage einer kleinen Verletzung mit Verunreinigung aus. Die Histiozyten vermehren sich dort unkontrolliert und es entsteht ein, dem Mastozytom ähnliches, Quaddel. Das Histiozytom sieht dem Mastozytom sehr ähnlich. Wird es nicht gereizt, bildet es sich in der Regel von selbst vollkommen zurück. Bei Reizung, vor allem bei permanenter Reizung, kommt es zum Haarverlust des umgebenden Gewebes und das Histiozytom kann enorm anwachsen und bleibt dann oft so bestehen. Es ist dennoch absolut harmlos.
Es gibt auch eine maligne Histiozytose, die mit Gewichtsverlust, Lymphadenopathie und schwerer Lethargie einhergeht. Diese Form habe ich allerdings noch nie beim Mops gesehen.
|
|
|
Inhaltsverzeichnis nach oben Gesundheit
|
|
 |